HAVE ANY QUESTIONS? CLICK HERE
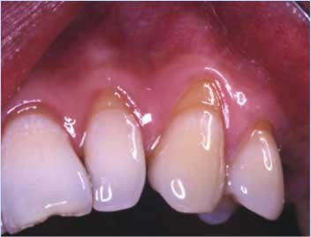
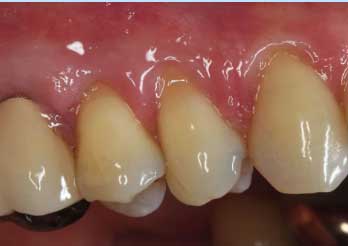
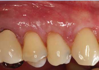
Gum recession is caused by inflammation, aggressive tooth brushing, tooth position, and genetics. The root of the tooth becomes exposed, and this may lead to hot and cold sensitivity, notching of the root surfaces, esthetic problems, and may contribute to poor oral hygiene and worsening recession. If recession becomes severe, it may contribute to tooth loss.
Gum grafting can be done to correct recession defects, thicken the gum tissue to help prevent further recession, improve esthetics, and improve oral hygiene. Grafts may be connective tissue from your own body, or a donor tissue called Alloderm. Your periodontist will discuss with you which options may provide the best results.
Case Treated by Dr. Liu
Before:

After:

Case Treated by Dr. Liu
Before:

After:




