There are two types of crown lengthening – functional and esthetic. The purpose is to expose more tooth structure, either to make a crown fit properly or for esthetic reasons.
StructuralIt
happens often that a tooth is very broken down to the and your dentist recommends to build-up the lost tooth and place a crown. However, if the remaining tooth structure is minimal and close to the bone, a crown will not fit properly, and may be unhealthy to the tissues and cause inflammation. A dentist will refer you for crown lengthening in this instance. An incision is made in the gums, and some bone around the tooth is removed to expose more tooth structure. After 2-3 months, the tissue will heal lower down, and then your dentist will be able to make a good-fitting restoration.

Esthetic
In certain cases of a high or “gummy” smile, short teeth, uneven gum margins and after orthodontic movement, esthetic crown lengthening can be performed. The objective is to make even gum margins and the proper length of teeth showing that is harmonious with your smile and facial esthetics. As with structural crown lengthening, an incision is made in the gums and a small amount bone may be removed. A laser is often used to fine-tune the tissues. Every smile is different, and your periodontist will discuss with you and your dentist about expectations and desires for your smile.
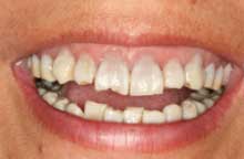
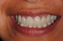
Before

After

Before

After crown lengthening

After restoration




