Missing teeth can cause problems with speech, appearance, and shifting of the teeth may occur, causing problems with function. Options for replacing missing teeth are bridges, partial dentures, and since the 1980’s, dental implants. Dental implants are often a preferred option because they simulate a natural tooth and do not require alteration of the adjacent teeth.
After proper diagnosis and planning, dental implants can be a very predictable treatment option to replace missing teeth. Often, a 3D image is taken to plan and look at the anatomy of the site. They require an experienced surgeon to place properly, and then a skilled general dentist to make the restoration. They are made of titanium, which integrates to your existing bone over a period of around 3 months. After this, an abutment and crown can be placed on the implant (see below).

Dental implants require a review of your medical and dental status. Smoking, diabetes, periodontal disease and osteoporosis are some risk factors that may interfere with implant integration and health. Your periodontist may recommend medical consultation or controlling periodontal disease prior to receiving your implants. Our goal as periodontists is to place implants that will last you a lifetime.
After placement and the crown, we will recommend a cleaning schedule to ensure that your implant stays healthy.
Your periodontist will discuss whether implants are right for you. In certain cases, bone grafting or soft tissue grafting may be necessary (see other sections). Our goal is to give you the most predictable treatment and an excellent, long-lasting results
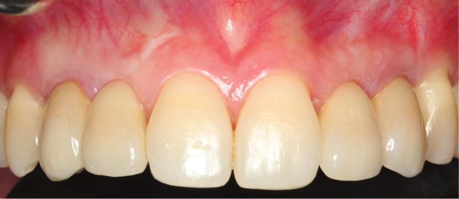
Can you tell which one is the implant?
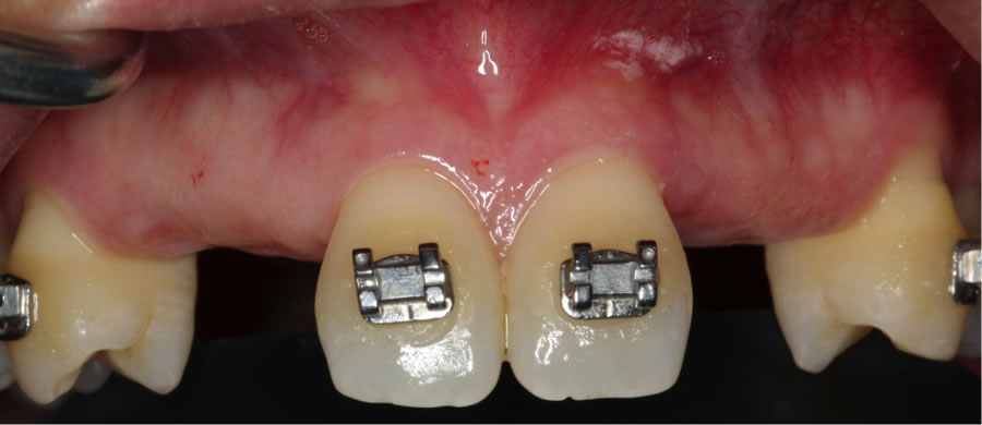
Before Implants

After Implants and Soft Tissue Grafting




