Sometimes when a tooth fractures, or periodontal disease or cavities become too severe, a tooth may not be able to be saved. It is often preferable to replace the tooth immediately with an implant. Immediate implants are as predictable as standard implants, and can be performed by experienced surgeon in many cases. It will often require 3D imaging and may require bone grafting and soft tissue grafting to achieve an excellent result. Your periodontists will discuss with you whether an immediate implant is possible in your case. After implantation, it will need around 3 months to heal prior to placing an abutment and crown. If an implant cannot be placed, socket grafting will be performed (see section on extraction and socket grafting).
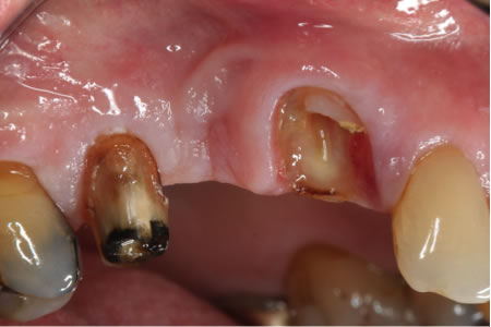
Before – A failed bridge left teeth broken to the gumline

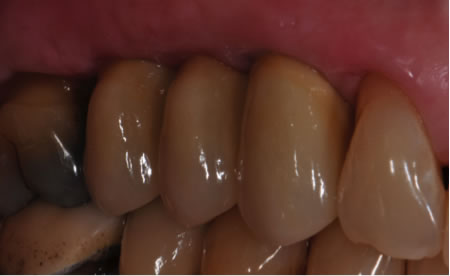
After Immediate Implants, bone graft and soft tissue graft – the full contour of the ridge is repaired, and restored with a new porcelain bridge




